Spring is in the air, and as I hike and bike the trails in southeast Michigan I find myself excited to be immersed in the lovely chorus of spring peepers and tree frogs as they prepare for this year’s breeding season. This also means it won’t be long until it is amphibian breeding season at the Detroit Zoo! Each year, the veterinary team works closely with our amphibian staff to provide support for our amphibian breeding programs. Our curators and keepers set up special breeding areas and adjust the temperature, light cycles, humidity and water access to simulate conditions in the wild and encourage natural breeding. They even set up simulated rainfall and play tape-recorded sounds of breeding calls collected from the wild.
Even with all of this, some of our endangered amphibians need a little more help to breed successfully. At the Detroit Zoo, we have over a decade of experience administering special hormones to Wyoming toads and Puerto Rican crested toads to help with breeding. We have been very successful with these programs; two years ago the amphibian staff sent 3,914 Wyoming toad tadpoles to Wyoming and last year they sent 22,571 Puerto Rican crested toad tadpoles to Puerto Rico for release into their native habitat. This is important work and we are proud to be able to help.
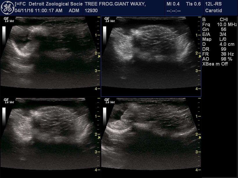
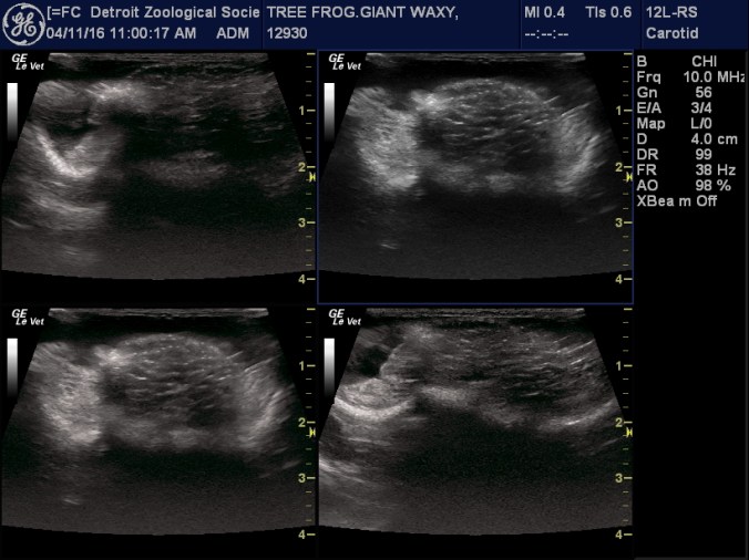
As zoo husbandry staff and amphibian reproductive experts have gained expertise, it has become clear that not all amphibians respond the same way to changes in their environment and established hormone protocols. Two years ago, we purchased a high frequency ultrasound probe, and we have found that we can monitor the appearance of the ovaries and follicles as they develop and mature within female frogs and toads. This provides a very powerful tool for understanding the impact of the husbandry and hormone treatments that we apply, and will allow us to establish assisted reproduction methods for other endangered species.
This season we have some exciting things planned, and have started the early work to check the females we are hoping to breed. Last week, we performed ultrasound exams on our three female giant waxy tree frogs, and were able to see that they are all developing large, follicle-filled ovaries. Based on the appearance of the follicles, we think that they will be ready to breed in the next few weeks to a month.
This week, we will be conducting ultrasound exams on our endangered Mississippi gopher frog females. Once we see their degree of follicle development, we’ll be able to plan a hormone and husbandry strategy for this year’s breeding season. Hopefully we will have exciting news to share in the coming months!
– Dr. Ann Duncan is the Director of Animal Health for the Detroit Zoological Society and oversees the Ruth Roby Glancy Animal Health Complex.














